
The Foundation Bettencourt-Schueller supports biomedical ultrasound research
Diagnosing heart diseases with a miniature smart sensor, treating pediatric cardiac malformation without open surgery using focused ultrasound waves, observing the entire human vascular network down to the smallest vessels using a non-invasive imager : these surrealistic projects will become true with the help of the Bettencourt-Schueller Foundation. The foundation has decided to grant the laboratory Physics for Medicine an extraordinary support for 4 years to conduct an innovative research in ultrasound-based imaging and therapy for cardiovascular diseases.
The program supported by the foundation involves three axis :
- the development of smart miniature sensors for the quantitative assessment of the cardiac function in real time,
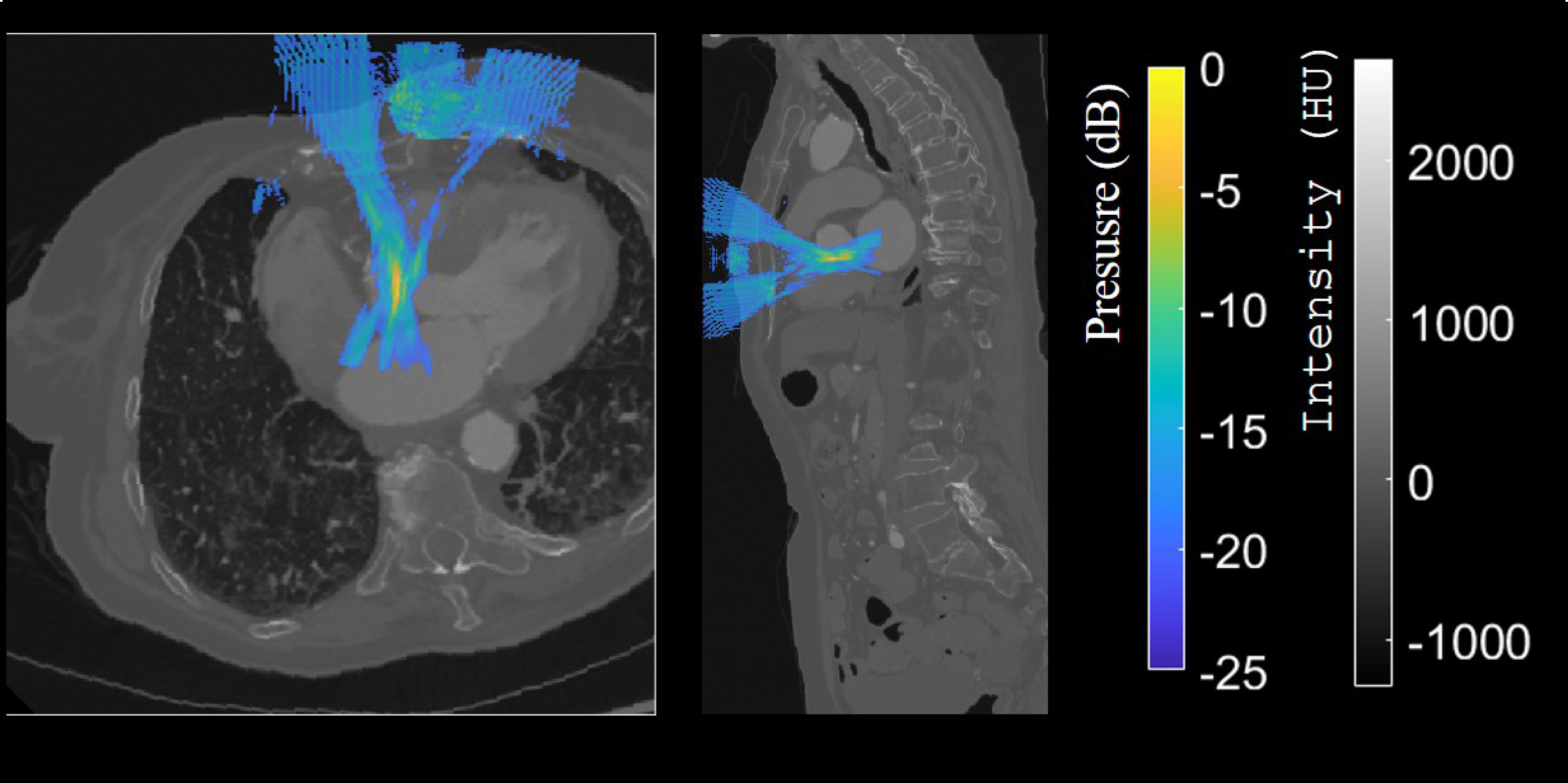
- extracorporal therapy of congenital heart defects in children, using ultrasound waves applied from the outside of the body to remotely treat the heart,
- ultrasound super-resolution imaging at the micron scale of capillary vessels in human organs, which constitute unique biomarkers of cancer growth, vascular pathologies or neurologic disorders
The 4-year global project will result in the construction of worldwide-unique imaging and therapy prototypes, available for direct use by the medical community to establish clinical proofs of concept. The ultimate goal is to remodel the management of cardiovascular diseases, which are the leading cause of death in the world (17.7 millions of deaths in 2017 according to the WHO).
For Mickael Tanter, head of the laboratory, ” this extraordinary support from the Bettencourt-Schueller Foundation will enable us to open unexplored paths for defining the technologies of the future of medical imaging and therapy as well as the impact of physics in the future management of patients. It also proves that our structure, which involves many partners and the first technological research accelerator developed by Inserm, is a particularly inventive and efficient model. We have managed to create a unique collaborative network connecting physicists and clinical research departments in various parisian hospitals, allowing us to achieve all the essential steps from the proof of concept of a scientific idea to the final evaluation of a device deploying this concept in a clinical environment.”

Bettencourt-Schueller Foundation: “Taking talent to the top”
The Bettencourt-Schueller Foundation strives to embody the will of a family, driven by an entrepreneurial spirit and awareness of its social role, to reveal talents and to help them to move further. It is devoted to selecting, assisting and valuing people who are imagining the world of tomorrow, in three areas that contribute to the common good : life sciences, arts and solidarity.
Following its philanthropic spirit, it awards prize and supports projects through donations and a personalized assistance. Since its creation in the late 1980s, 544 prizes have been awarded and support has been granted to more than 1000 projects carried by various teams, associations, institutions, and organizations.
As part of its commitment for life sciences, the Bettencourt-Schueller Foundation rewards each year 20 researchers whose work contributes to the progress of scientific knowledge on major health issues, with the aim of improving human health. Through its donation program, the Bettencourt-Schueller Foundation is involved in the creation of academic university courses and research chairs, in the insertion through science education and public mediation, and supports sustainable programs for renovating laboratories and acquiring advanced equipment. 391 millions of euros have been spent for life sciences since 1990.
More information on http://www.fondationbs.org.